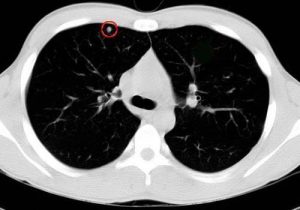
肺结节是一种病因未明的多器官、多系统的肉芽肿性疾病,一般是指在肺内出现圆形或者椭圆形的病灶,直径大多在1到3厘米,多是由于结核钙化灶或者是炎症刺激所引起的局部现象,这种情况建议及时到医院进行检查,可以行病理穿刺,大部分病人会自行缓解;但如果出现恶性结节,需要放疗、化疗、靶向治疗,同时也应该改变生活习惯,戒除不良嗜好。
![]()
经验内容仅供参考,如果您需解决具体问题(尤其法律、医学等领域),建议您详细咨询相关领域专业人士
肺结节是一种病因未明的多器官、多系统的肉芽肿性疾病,一般是指在肺内出现圆形或者椭圆形的病灶,直径大多在1到3厘米,多是由于结核钙化灶或者是炎症刺激所引起的局部现象,这种情况建议及时到医院进行检查,可以行病理穿刺,大部分病人会自行缓解;但如果出现恶性结节,需要放疗、化疗、靶向治疗,同时也应该改变生活习惯,戒除不良嗜好。
![]()
经验内容仅供参考,如果您需解决具体问题(尤其法律、医学等领域),建议您详细咨询相关领域专业人士